What is Medis Suite Ultrasound?
Medis Suite Ultrasound is the latest addition to the Medis Suite portfolio for cardiovascular imaging. Based on 20 years of developments and innovations, we bring you the latest image post-processing tools in advanced cardiac deformation analysis for echo. Medis Suite Cardiac Ultrasound (Echocardiography) is currently available for research use. Medis Suite Ultrasound is a continuation of over 20 years of innovative algorithms and ground-breaking work in Echocardiography software by AMID. AMID was acquired by Medis in 2020.
- Incorporating robust, cardiac ultrasound vendor-independent and proven algorithms, for speckle-tracking powering the various solutions of ultrasound vendors worldwide for the last 20 years
- Our technology is being used in 1400+ scientific papers to support the analysis of strain and other deformation parameters
- Considered by many the gold standard vendor independent software for advanced cardiac deformation analysis, providing deeper insight into heart function
- Echo Strain is available together with MR Strain and CT Strain, a truly multimodality approach for advanced cardiac deformation imaging, using the same technology optimized for the different modalities
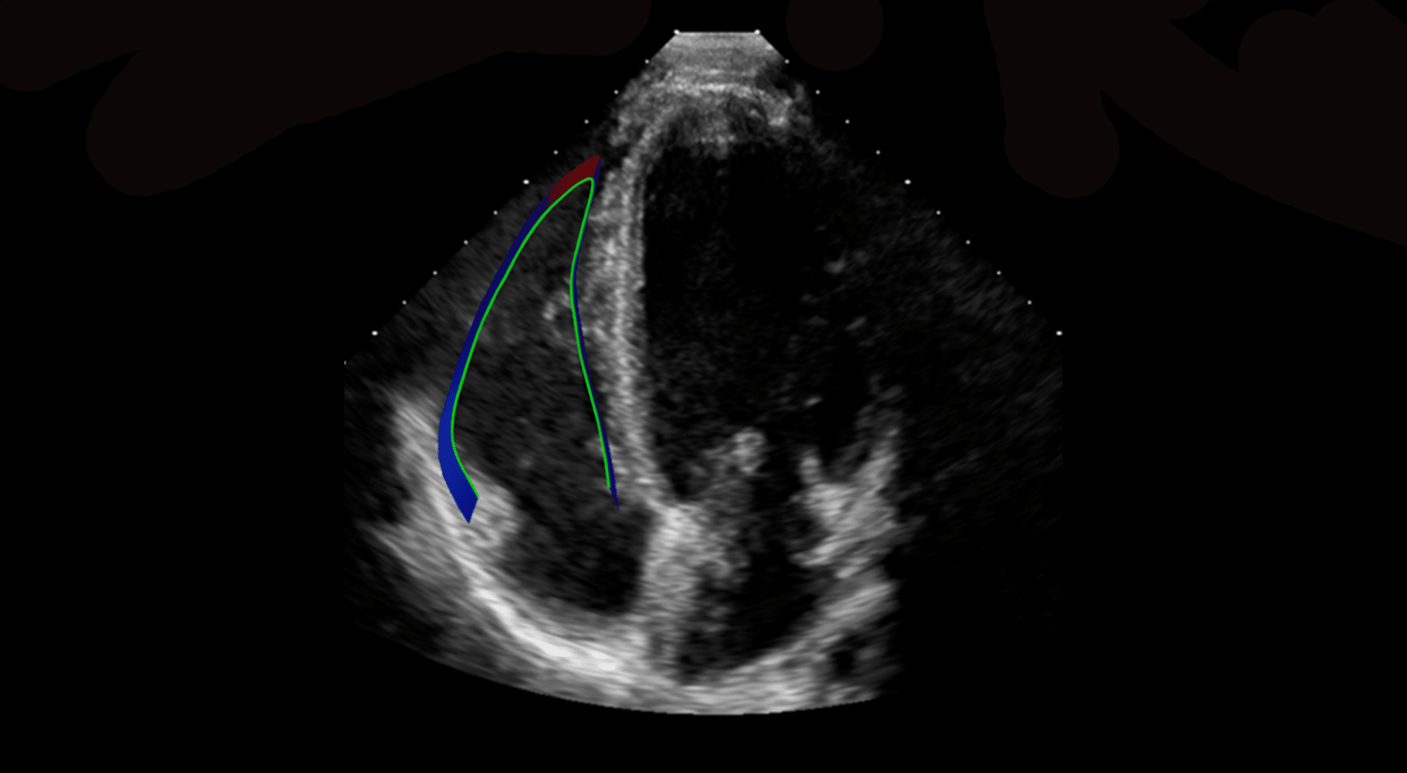
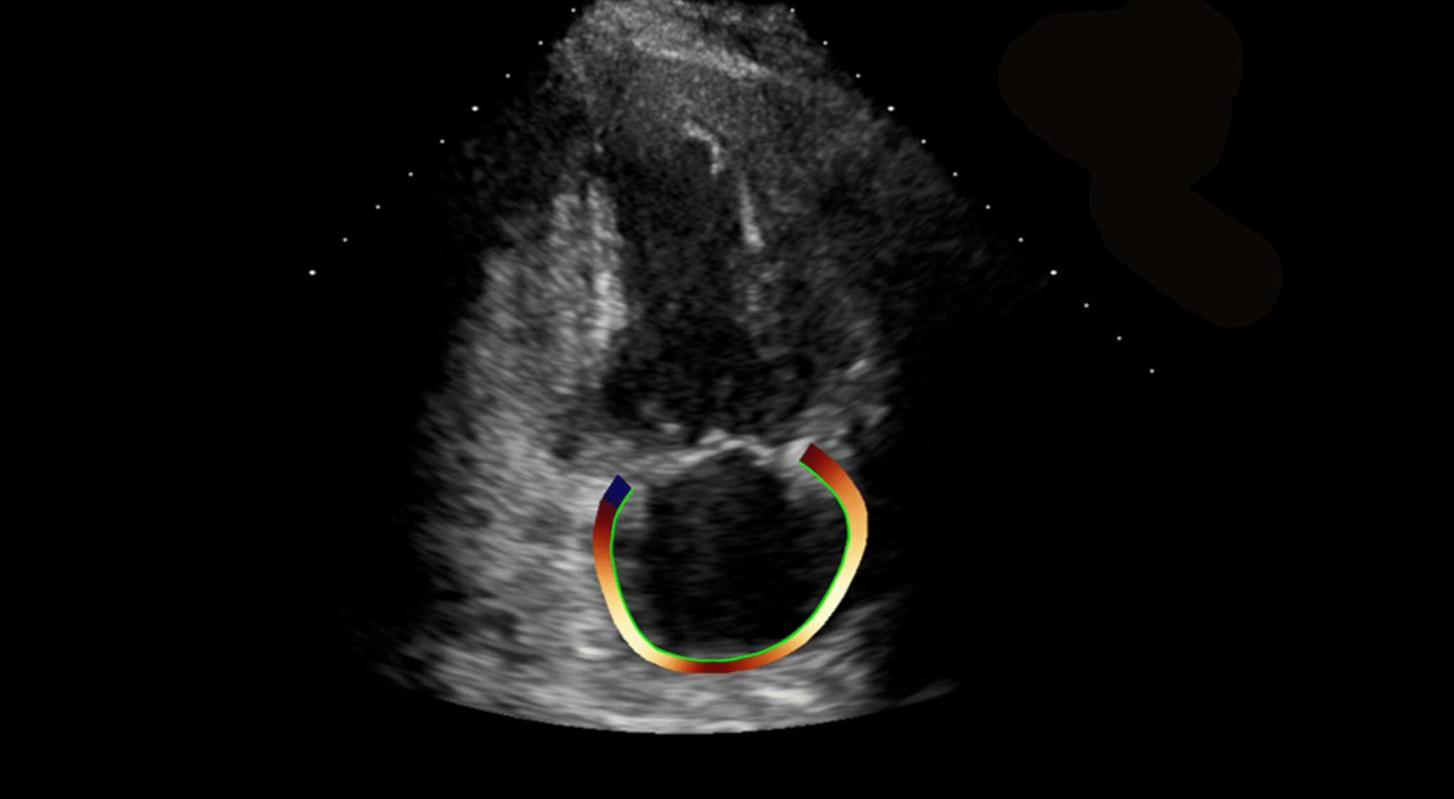
- Allows the quantitative evaluation of the Left Ventricle, Right Ventricle and the Left Atrium OEM solution. See the applications below for further details















"Our technology offerings will allow Medis to complement and further enhance its already impressive suite of clinical offerings and spur innovation."
Dr. Giovanni Tonti Former CEO of AMID